Creen posible usar el cerebro para rejuvenecer

el-cerebroLONDRES.  (BBC Mundo).  ¿Es la enfermedad mental una consecuencia inevitable del envejecimiento? ¿O podríamos disfrutar de una vejez con una mente sana?. Los anuncios que promueven el ejercicio mental para revertir los efectos del envejecimiento son cada vez más comunes.

«El proverbio viejo ‘si no lo usas, lo pierdes’ es realmente cierto», comenta Leslie Sherlin, de Neurotopia, una empresa de ejercicio mental de Los Ángeles, Estados Unidos.

«Cuanto más lo usamos, más fuertes, adaptativos y resistentes nos volvemos».

Para entrenar el cerebro se pueden hacer ejercicios tan simples como crucigramas o recordar números telefónicos.

Sin embargo, es todo un tema de debate el que estas técnicas puedan ayudar a alguien a tener una mente joven o si puedan tener un impacto en enfermedades degenerativas como el Alzheimer.

«Existen muchas teorías prometedoras, pero todavía no tenemos los datos», explica Sherlin. «(Es un tema que) necesita ser examinado con profundidad. Pero desde una perspectiva teórica y con evidencia anecdótica, las posibilidades están allí».

Otra forma de contrarrestar los efectos del envejecimiento del cerebro es la que promueve el doctor Daniel Amen.

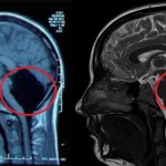
Un psiquiatra realiza escáner para detectar cuan deteriorado está el cerebro.

Este psiquiatra californiano asegura que su programa de escáner cerebral puede detectar los problemas que impiden vivir más tiempo y aparentar ser más joven.

Uno de sus libros se titula «Usa tu cerebro para cambiar tu edad» (Use Your Brain To Change Your Age).

«Tu cerebro se empieza a deteriorar incluso muchos antes de que empieces a notar algún síntoma», advierte Amen.

Para diagnosticar a sus pacientes, Amen utiliza análisis de sangre, pruebas cognitivas, el historial familiar y un escáner cerebral conocido como SPECT por sus siglas en inglés (tomografía computarizada por emisión de fotones individuales).

Esta última prueba muestra el flujo de la sangre como una medida de la actividad cerebral.

El resultado es una imagen tridimensional en la que se representa con espacios las zonas con un flujo bajo de sangre en la superficie del cerebro.

El corresponsal de la BBC en Los Angeles, Peter Bowes, se sometió al examen.

«El resultado sugiere que tengo niveles bajos de actividad en mi córtex pre frontal y cerebelo, lo que sería consistente con problemas de atención y memoria».

Bowes confiesa que con 50 años le atribuye los problemas de su memoria al proceso natural de envejecimiento.

«No es normal, incluso a los 70», sentencia Amen. «Esto significa que tu cerebro está empezando a sufrir».

Según el especialista, los espacios o agujeros que se ven en el cerebro son una señal de envejecimiento.

Amen considera que nuestra vida útil está determinada por la función cerebral. «La gente debería poder tomar decisiones prudentes sobre no comer o tomar en exceso, conducir con cautela, tener suficientes horas de sueño, elegir con sensatez a los amigos y tener habilidades de organización para evitar el estrés».

¿No son estas decisiones que dicta el sentido común? ¿Para qué necesitamos un escáner cerebral?

Mark Affleck, un ejecutivo jubilado de la industria del aguacate en California, acudió a la consulta de Amen hace un año, cuando tenía 56, porque se sentía «vago y confuso».

Un escáner de su cerebro mostró una superficie lunar con espacios y huecos que Amen asocia a una salud pobre.

Afflecks asegura que los resultados lo llevaron a realizar un cambio en su vida. Ahora realiza caminatas de 45 minutos casi todos los días, hace pesas día por medio y lleva una dieta rica en vegetales y baja de cafeína y azúcar.

Seis meses más tarde, Affleck asegura que su segunda tomografía fue diferente. Algunos de los espacios «se habían rellenado y se veían saludables».

«No creo que sea esencial someterse a un escáner, pero hay algo en lo que uno ve -y cómo cambia- que lo hace muy poderoso», agrega.

Para estimular el flujo en ciertas partes del cerebro del corresponsal de la BBC, Amen le aconsejó comer menos pan y más vegetales, tomar suplementos como aceite de pescado y vitamina, así como melatonina -una hormona que ayuda a dormir y en muchos países no requiere de receta médica.

Para «rejuvenecer» la mente, el doctor Amen recomienda el tenis de mesa.

Para mejorar sus períodos de atención, también sugirió el tenis de mesa, un ejercicio de coordinación que estimula la actividad en el cerebelo, la zona del cerebro importante para la motricidad.

«Después de dos meses me sentí más alerta, y otra visita a Amen me permitió ver pequeños cambios en la apariencia de mi cerebro re escaneado», cuenta Peter Bowes. «Aunque de todas formas, me iba a hacer sentir mejor con una vida más sana».

El diagnóstico con escáner cuesta US$3.600, una consulta nada económica y a la que pocos expertos le ven el beneficio.

El doctor Gary Small, director del Centro de Longevidad de la Universidad de California en Los Angeles, dijo que se había pasado su carrera desarrollando tecnología de escáner cerebral. «Creo que es prometedor, pero antes de pedir una prueba siempre me pregunto: ‘¿Realmente va hacer una diferencia en el resultado del paciente? ¿Cambiará la terapia? ¿Ayudará de alguna forma?'».

Por su parte, Helen Mayberg, profesora de psiquiatría, neurología y radiología de la Universidad Emory en Atlanta, es más crítica. «No existen evidencias que indiquen que este tipo de escáner pueda ser usado como un procedimiento general para confirmar si estás sano o para diagnosticar una condición específica».

«Estos escáneres de cerebro son una utilería innecesaria que sólo le añade un nivel de corroboración aparentemente científica (pero no comprobada) a sus afirmaciones», agregó.

UN APUNTE

Señales de vejez

Según los especialistas, los espacios o agujeros que se ven en el cerebro son una señal de envejecimiento. El doctor Daniel Amen considera que nuestra vida útil está determinada por la función cerebral. Agrega que la gente debería poder tomar decisiones prudentes.

Informacion via: El nacional